Месторасположение смартфона возможно влияет на развитие болезней. Хм

Для анализа случаев заболевания использовался массив данных из семи европейских стран INTERPHONE (Дания, Финляндия, Германия, Италия, Норвегия, Швеция и юго-восточная Англия).
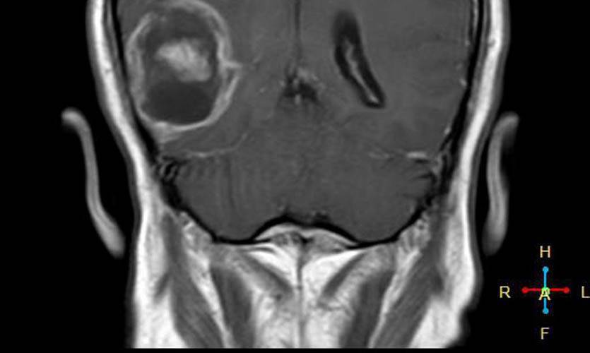
Было проведено исследование радиочастотных электромагнитных полей путём оценки общей кумулятивной дозы удельной энергии (TCSE) для каждого человека. Для каждого случая местоположение опухоли определяли нейрорадиологами, а центр опухоли оценивался компьютерным алгоритмом или непосредственно нейрорадиологом.
Для каждого случая средняя точка опухоли на трехмерной сетке определялась на основе радиологических изображений.
По итогам исследования выяснялось, что у пользователей мобильных телефонов наблюдалось повышение шансов появления злокачественных опухолей головного мозга и развития астроцитомы при использовании мобильных телефонов только с одной стороны головы.
Проще говоря, если ваш смартфон лежит ночью с правой стороны (по статистике именно так), то риск появления опухоли возрастает именно справа.

В Японии учёные изучили серию случаев акустической невромы, диагностированных в период между 2000 и 2006 годами. В целом, не было избыточного риска акустической невромы среди всех пользователей мобильных телефонов.
Однако среди некоторых подгрупп, а именно тех, которые имеют наивысшую продолжительность ежедневных звонков, были оценены отношения высокого риска.
Другими словами, чем чаще вы разговариваете по мобильному телефону, тем больше шансов у вас попасть в зону риска.
Как часто мы должны выключать телефон?
Несмотря на то, что наш мобильный телефон не подвергается непосредственному воздействию в течение слишком долгого времени, его отключение не мешает, например, батарея минимально калиброванный , Литиевые батареи обычно не страдают от проблем этого типа, но в некоторых случаях мы можем найти это в устройствах, которые были с нами в течение нескольких лет.
Для оперативной памяти или процессора это также может быть передышкой, но, как мы видим, когда он выходит из строя, отключение мобильного телефона является одноразовым решение , который только успевает закрыть все процессы и перезапустить их. Если мы столкнемся с серьезной аппаратной или программной ошибкой, это не решит проблему.
Температура, задержка или проблемы с аккумулятором отвечают на вопрос
Когда нам действительно нужно выключить мобильный телефон, это происходит в одной из этих трех ситуаций, когда мы долго играли с нашим мобильным телефоном и стало слишком жарко или когда мы оставили его на полном солнце
В этом случае очень важно выключить его, постараться оставить его в тени и в месте, где не так жарко, если мы не хотим, чтобы он терпел какие-либо повреждения
При обнаружении задержки или проблемы с производительностью мы также рекомендуем отключить его как способ исправить это, как упоминалось выше. Когда мы обнаружим, что батарея не откалибрована и она быстро падает, мы должны дать ей разрядиться, а затем полностью зарядить его, пока он выключен оставьте на пару часов и используйте его снова как обычно.
Телефон разряжается в режиме ожидания

Телефон тратит энергию даже в фоновом режиме, но не очень активно
Логика в этом, безусловно, есть. Тем более, что даже в состоянии сна смартфону приходится поддерживать выполнение целого спектра ресусоёмких процессов:
- Wi-Fi
- Bluetooth
- NFC
- Сотовая связь
- Приём пуш-уведомлений
- Фоновая работа приложений
- Обновление контента
- Обновление приложений
- Поиск сети
В общем, задач, которые приходится выполнять смартфону даже в состоянии сна, лёжа на столе без дела, довольно много. Естественно, это требует от него определённых ресурсов, в том числе ресурса аккумулятора. Поэтому, когда вы заряжаете смартфон во включенном состоянии, ему приходится не только восполнять отсутствующую энергию, но и те микропотери, которые он испытывает из-за фоновых процессов. Но есть не одно, а даже два «но».
Во-первых, все фоновые процессы, которые выполняются на вашем устройстве, пока он условно лежит без дела, очень экономичны. Хоть iOS, хоть Android изначально проектировались так, чтобы не тратить много энергии на выполнение тех или иных задач в фоновом режиме.
Как активировать опцию выключения смартфона на Андроид
В зависимости от модели гаджета будут различаться настройки функции. Чтобы включить таймер выключения на Xiaomi нужно:
- Зайти в “Настройки” – “Питание и производительность” – “Таймер питания”.
- В открывшемся меню выбрать пиктограмму шестеренки (в правом верхнем углу) и перейти в “Таймер питания”.
- Здесь нужно настроить включение и выключение смартфона по расписанию. Причем, можно выбрать не только время срабатывания таймера выключения, но и дни недели.
Для того чтобы отключать телефон Хонор по расписанию, нужно настроить соответствующую опцию на смартфоне:
- Открыть настройки – раздел “Управление” – пункт “Плановое выключение/выключение”.
- Активировать пункт “Плановое выключение”, затем установить время выключения/выключения гаджета, дни недели и пр.
Практически также настраиваются и девайсы от Самсунг, позволяя владельцу управлять в автоматическом режиме выключением и выключением телефона. Для управления опцией нужно будет зайти в “Меню” – “Настройки” – “Экран” и пр.
Причины для отключения роутера на ночь
Роутер – это мини-компьютер, имеющий свое программное обеспечение (прошивку), процессор, оперативную память. От этих характеристик зависят производительность (скорость скачивания) и качество соединения. Роутеры наделены функцией Wi-Fi, то есть способны обеспечивать связь с потребителями при помощи радиоволн. Таким образом, роутер является излучателем электромагнитных волн и потребителем электроэнергии.
Срок эксплуатации
В среднем, срок эксплуатации роутера – 5 лет. Замена устройства обусловливается двумя причинами: физическим износом и моральным старением.
Техническое средство при интенсивной работе со временем может иметь те же проблемы, что и компьютер:
- зависать;
- тормозить;
- прерывать интернет-соединение.
В этом случае срок службы определяется качеством сборки.
Развитие компьютерных технологий требует более высоких частот и устойчивости получения и распределения сигнала. Использование устаревших моделей маршрутизаторов будет препятствовать применению высокоскоростного интернета.
Вред для организма человека
Wi-Fi расшифровывается, как «передача информации без провода». Диапазон используемых радиочастот – от 2,4 до 5 ГГц. Воздействие электромагнитного излучения, разновидностью которого являются радиоволны, зависит от мощности источника, продолжительности его работы и расстояния до человека.
В сравнении с другими излучателями (телевизором, мобильным телефоном, микроволновкой), роутер обладает самыми низкими показателями.
Но, если учесть, что устройство работает круглосуточно и находится близко от места работы и отдыха людей, то может наблюдаться вредное воздействие на организм человека, особенно ребенка:
- расстройство сна;
- рассеянность;
- снижение работоспособности.
Эти симптомы являются следствием спазма сосудов головного мозга из-за влияния радиоизлучения.
Экономия электроэнергии
Устройство относится к маломощным техническим средствам. Потребляемая мощность колеблется от 4 до 15 Ватт в час. При непрерывной работе в течение 30 дней расход электроэнергии составит от 2,8 до 10,8 кВт*час. Энергопотребление зависит от интенсивности закачивания трафика и его распределения с использованием Wi-Fi.
Учитывая незначительный объем потребления, отключение роутера от электросети не оказывает существенного влияния на затраты по электроэнергии.
Стоит ли пользоваться режимом экономии энергии
Сначала разберемся, зачем вообще держать смартфон включенным, и почему пользователи предпочитают экономить энергию. Если вы не выполняете несколько задач одновременно и не нуждаетесь в постоянном потоке уведомлений, зачем держать телефон работающим на полную мощность? Зачем ему поддерживать все фоновые синхронизации и тому подобное? Вопрос звучит логично, но встречным вопросом будет:”А зачем нам вообще современный смартфон?”

Чем экономить заряд, лучше брать с собой его источник.
Почти все мы редко находимся в дали от зарядного устройства и возможность подключения у нас есть почти всегда. Кроме этого, не лишним будет иметь внешний аккумулятор. Увеличение автономности за счет экономичного режима не сотворит чудес и лишние час-два могут просто не спасти. Куда надежнее держать в сумке или рюкзаке небольшой Power Bank (да хотя бы даже такой) и вообще не переживать за автономность смартфона.
Собственно, этот сценарий я и предпочитаю. Тем более, что функция увеличения автономности сработает только тогда, когда смартфон находится в режиме ожидания. Если вы фотографируете, снимаете видео, разговариваете по телефону, играете или смотрите что-то с экрана, то вас это не спасет, и батарея все равно будет садиться быстро. Не проще ли вы этом случае просто подключиться к Power Bank и минут за 20 зарядить гаджет на несколько десятков процентов и полдня работы?
Я знаю людей, которые постоянно пользуются режимом экономии энергии. Они его просто не выключают, а если он выключается сам при достижении максимального уровня заряда, то они включают его снова. Только один вопрос возникает у меня в данной ситуации… Зачем тогда было покупать дорогой мощный смартфон, чтобы ”придушивать” его, снижая производительность? Они не могут дать ответа.

Если реже заряжать смартфон, но аккумулятор проживет дольше. Но стоит ли оно того?
Как уменьшить вред от синего света
свести его к минимуму
- Не обязательно отказываться от работы с гаджетом в ночное время – достаточно не делать этого за 2 часа до отхода ко сну. Именно в этот период начинается синтез мелатонина. Причем это время привязано не к наступающей темноте, а к моменту, когда вы обычно засыпаете.
- Выставьте меньшую яркость дисплея. Чем она выше, тем большую дозу синего света получают ваши глаза. Для многих устройств разработчики предусмотрели «режим чтения» и «вечерний режим», позволяющие оптимизировать параметры экрана именно для вашего случая.
- Воспользуйтесь гаджетом с меньшим размером дисплея. Если у вас есть выбор: читать перед сном с планшета или смартфона, то лучше выбрать последний.
- Установите приложения, изменяющие спектр дисплея смартфона в зависимости от времени суток, такие, как F.lux для операционной системы iOS или Night Filter для ОС Android.
- Используйте для освещения комнаты в вечернее время лампы теплых тонов. Лампа с «дневным» светом в светильнике способна нарушать сон ничуть не хуже смартфона.
Получение данных
Принимая решение о том, стоит ли отключать Wi-Fi на телефоне, нужно учитывать обмен данными, который происходит во время ожидания. Автоматическая загрузка обновлений может осуществляться ночью при условии, что смартфон имеет подключение к беспроводной сети. С одной стороны, это приводит к дополнительному потреблению энергии, так как сначала идет скачивание, а затем и установка новых версий контента.
Однако для многих пользователей удобнее получать все обновления сразу по мере поступления, нежели загружать их все вместе при подключении к Wi-Fi утром или днем. В этой ситуации стоит решить, что важнее: удобство работы с устройством или запас аккумулятора. Также аргументом в пользу того или иного выбора может стать желание или нежелание получать push-уведомления из мессенджеров и социальных сетей.
Другие причины воздержаться от пользования смартфоном перед сном

другие виды негативного воздействия
- Те, кто помнит еще докомпьютерную эпоху, наверняка вспомнят и о том, что родители не раз запрещали читать любимые книги в постели. Причем врачи объясняли это не только тем, что неправильное освещение портит зрение, но и тем, что неудобная поза может вызывать боль в мышцах или приводить к заболеваниям позвоночника.
- Особенно это касается тех, чья работа связана с компьютером: разнообразных офисных работников, программистов, дизайнеров. Мало того, что они получают ежедневно изрядную дозу вредного воздействия на опорно-двигательный аппарат, пребывая на рабочем месте, так еще и усугубляют его эффект, не позволяя телу расслабиться перед сном.
- Само по себе нарушение сна может быть связано не только с синтезом мелатонина, но и с характером вашего пользования смартфоном. Например, после вечернего чтения слишком уж увлекательной книги заснуть бывает очень непросто.
- Нельзя не упомянуть и о проблемах чисто психологического плана. Как правило, постель – это место где супруги могут пообщаться наедине, осудить жизненные проблемы, обменяться впечатлениями. Если один из них вместо этого предпочитает пялиться в экранчик смартфона, это едва ли скажется положительно на психологическом климате в семье.
- Наконец, те, кто злоупотребляет чтением перед сном, часто элементарно не имеют достаточного времени, чтобы выспаться.
Так стоит ли выключать роутер ночью
Если невозможно расположить в жилом помещении маршрутизатор на безопасном для здоровья расстоянии, то его следует отключать на ночное время. При этом надо помнить, что электронные устройства конструируются с расчетом на постоянную работу. Объясняется это чувствительностью электроники к перепадам напряжения и электрического тока.
Включение и выключение электроприбора сопровождается пиковыми показателями электрического тока и скачками напряжения. Некорректное (небрежное) выключение штекера из гнезда приводит к выходу из строя этой детали. Выдергивание вилки из розетки может вызвать искровой разряд. Кнопки «Вкл.»/«Выкл.» не рассчитаны на длительные манипуляции.
Никто не беспокоит
Спам добрался и до телефонов. Человека могут неожиданно разбудить предложениями установить пластиковые окна, проверить счетчик, получить бесплатную юридическую помощь. Особенно актуально проблема ночных звонков стоит при смене часовых поясов.
Владелец номера, к примеру, в обычное время живет в Москве, но по работе отправляется в командировку на Дальний восток, в другой часовой пояс. Спамеры, которые используют московскую базу данных, звонят в рамках рабочего времени по Москве – преимущественно с 9 до 20. Ну а для Дальнего Востока все, что позже московских 15:00 – время для сна.
Подобным образом можно отдохнуть и от нижестоящих коллег, которые считают нормальным «дергать» человека в нерабочее время ради решения собственных проблем, и от надоедливых знакомых.
Способы выключить роутер на ночь
Но если вы не согласны, то вот вам несколько вариантов, как можно выключить устройство.
Вынуть из розетки
Самое очевидное — просто выдернуть штепсель из розетки, и «спать спокойно». Только на утро придется вновь его вставлять обратно.
К сожалению, многие базовые модели начального уровня не имеют других возможностей физически выключить роутер.
Кнопкой на корпусе
А вот более продвинутые роутеры уже имеют на корпусе отдельную кнопку включения и выключения. Достаточно просто ее нажать, и не надо вынимать вилку из розетки.
Некоторое модификации также оснащены отдельной клавишей деактивации трансляции wifi сигнала без полного отключения устройства. Такой вариант даже предпочтительнее, поскольку компьютеры, подключенные к нему по кабелю, смогут продолжать работать.
Через настройки в панели управления
Но самый универсальный способ — это отключить wifi в настройках роутера. Особенно он пригодится тем, у кого маршрутизатор запрятан куда-то глубоко в шкафу, и просто так до него не добраться. Однако, для этого понадобится зайти в панель управления с ноутбука или смарфтона и найти данный раздел. Покажу, как он выглядит на моделях разных брендов:
Ваше мнение – WiFi вреден?
Да
22.94%
Нет
77.06%
Проголосовало: 33177
Заходим в «Настройки беспроводного режима» и снимаем галочку с «Включить беспроводное вещание»
Меню «Беспроводная сеть», вкладка «Профессионально». Ставим «Нет» на пункте «Включить радиомодуль»
Заходим в раздел «Домашняя сеть»
и ставим тумблер в положение «Выключена» для каждого из диапазонов частот
D-Link
В меню «WiFi» открываем «Основные настройки» и снимаем флажки с двух пунктов:
- Включить беспроводное соединение
- Вещать беспроводную сеть
Открываем «Настройки Wi-Fi» — «Имя, пароль»
И переводим переключатели в неактивное положение
Настройка находится в меню «Advanced»
В рубрике «Беспроводной режим» ставим «Состояние Wi-Fi связи» в «Откл.»
В основном блоке «Беспроводной режим» выключаем сети в обоих частотных диапазонах (2.4 и 5 ГГц)
Upvel
Здесь для каждого диапазона свой пункт в навигации. Заходим в каждый из них и в отличие от других роутеров наоборот, ставим галочку напротив «Отключить интерфейс Wi-Fi»
Оптимизация
Некоторые владельцы мобильных девайсов убеждены, что выключать смартфон на ночь следует для оптимизации системы, а так ли нужно это делать при наличии многочисленных программных средств, в том числе встроенных инструментов системы, никто из них не задумывается.
Для очистки телефона и оперативной памяти от мусора лучше использовать такие утилиты как CCleaner, Master Cleaner и им подобные продукты, в последних версиях Android присутствует также интегрированный клинер, автоматически очищающий кэш и прочий системный мусор. Так, для оптимизации системы ни отключать, ни перезагружать смартфон не требуется.
Перезагрузка полезна при возникновении случайных сбоев, поскольку во время рестарта система перезапустит все важные процессы и частично поможет исправить повреждённые системные файлы, что позволяет избавиться от некоторых незначительных ошибок.

Как продлить время работы телефона
Режим увеличения времени работы батареи есть почти у каждого смартфона на уровне операционной системы. Он позволяет продлить время использования устройства на несколько часов. Для этого часто приходится отказываться от некоторых удобств в работе, но такая функция может иметь решающее значение в долгие дни, когда подключение к сети невозможно. Например, такой режим может быть актуальным в дороге, в походе или просто, когда вы где-то задержались и просто не знаете, когда окажетесь дома или в офисе.
Но то, как часто мы используемся этим режимом, может сильно отличаться от пользователя к пользователю. Вы можете использовать его постоянно, если хотите сберечь энергию или не использовать его, чтобы выжать из своего устройства все до последней капли.
Интересно, что редко кто-то находится посередине и пользуется этим режимом, скажем, раз в неделю. Обычно люди идут именно на крайности. Можете рассказать в нашем Telegram-чате, как вы это делаете, но лично я почти принципиально не пользуюсь такой функцией по целому ряду причин.
Вред Wi-Fi для здоровья
Безопасность беспроводных сетей для человека является частым предметом спора. Исходя из наличия невидимых глазу радиоволн, которые образуются при работе Wi-Fi, многие люди предпочитают держаться от него подальше.
По заверениям специалистов, длительное воздействие этой технологии на организм приводит не только к мигреням и нарушениям сна, но и образованию раковых опухолей. Тем не менее, тестов, которые могли бы однозначно подтвердить данный факт, проведено не было.

Если хотите обезопасить себя от Wi-Fi хотя бы в ночное время, нужно отключать не только сеть на телефоне, но и домашний роутер. Скорее всего, положительный эффект почувствовать не удастся, поскольку человек регулярно подвергается множеству других видов излучений, включая сотовую связь.
Как продлить жизнь телефону
3. Вы пользуетесь телефоном на улице при плохих погодных условиях
Ваш смартфон не предназначен для того, чтобы противостоять сверхвысоким или сверхнизким температурам, поэтому использовать его при экстремальных температурных режимах не рекомендуется.
Это может привести к разрядке аккумулятора или к выходу устройства полностью из строя. Кроме того, если телефон не водонепроницаемый, не стоит использовать его под дождем или снегом.
Если вы заранее знаете, что окажетесь в экстремальных погодных условиях, постарайтесь, по крайней мере, держать смартфон в кармане и использовать исключительно по необходимости.
Как отключаться от Wi-Fi
1. Розетка
Самый простой и очевидный способ выключить Wi-Fi ночью — это просто отключить модем от розетки. Когда проснётесь, можете его снова включить. Это просто и эффективно, и вы можете начать делать это прямо сейчас, бесплатно, не изучая и не покупая никаких новых технологий.
К сожалению, мало кто хочет постоянно на ночь отключать роутер.
2. Таймер
Можно воспользоваться специальным таймером для включения и отключения Wi-Fi-роутера. Они устанавливаются очень просто, стоят немного и не требуют особых навыков. Эти таймеры механические, поэтому не являются источником какого-либо дополнительного излучения.
У таймера есть своя розетка.
1. Вставляете таймер в розетку.
2. Вставляете Wi-Fi роутер в розетку таймера.
3. Настраиваете таймер и готово!
3. Встроенный в роутер таймер
Многие роутеры имеют собственный таймер, но, чтобы им воспользоваться, придётся покопаться в настройках устройства. Для этого нужен специалист, либо вы можете воспользоваться советами из видео уроков (коих довольно много и настройка зависит о модели роутера).
Потребление трафика
Количество информации, которую получает и отправляет смартфон, принято измерять мегабайтами. Практически все Wi-Fi-точки предоставляют неограниченный доступ к интернету. К сожалению, это не всегда актуально в случае с операторами сотовой связи. Тарифные планы у абонентов часто имеют определенные рамки трафика при подключении к сети.
Так как многие приложения работают с интернетом в фоновом режиме, можно отключить для них эту функцию. В противном случае скачивание больших обновлений, как и просмотр видео через мобильную сеть, приведет к потере доступных мегабайт и пустой трате средств на счету. Если 3G/4G имеет ограничения, рекомендуется чаще использовать Wi-Fi либо позаботиться о приобретении безлимитного пакета услуг оператора.
Гарантированно избежать всех расходов по трафику поможет отключение параметра «Мобильные данные» в настройках смартфона. Этим действием можно запретить устройству выход в интернет через сотовую сеть. Если вы бережете интернет-трафик и батарею, рекомендуется включать интернет только при необходимости и отключать его, когда телефон находится в режиме ожидания.

Нельзя спорить с тем, что современные смартфоны созданы для постоянного взаимодействия с интернетом. Непрерывный прием данных позволяет вовремя получать важные оповещения и автоматически загружать обновление для ПО. Однако рекомендуется иногда ограничивать подключение телефона к сети — это позволит сэкономить заряд АКБ и размер доступного интернет-трафика.
Как снизить разряд батареи при включенном Wi-Fi
Тем, кого больше убедили аргументы на пользу подключенного Wi-Fi на протяжении суток, будет интересно узнать, как снизить влияние этой функции на аккумулятор.
Как уже было сказано раньше, много зависит не только от наличия беспроводного Интернета, но и от его настроек
Больше всего стоит обратить внимание на два пункта: «Wi-Fi в спящем режиме» и «Постоянный поиск Wi-Fi сети»
Суть первого пункта можно понять из названия. Даже когда телефон заблокирован и находится в режиме ожидания, Интернет работает без остановки.
Если убрать галочку напротив этого пункта, оповещения могут приходить некорректно, но батарея будет активной дольше.
Благодаря технологии постоянного поиска сети, службы геопозиционирования узнают местоположения гаджета даже без включенного вай-фая. Эта функция значительно влияет на уровень заряда телефона, так как он должен все время искать свободный Интернет и увеличивать радиус работы антенны до максимума, чтобы улавливать даже самый слабый сигнал сети.
Если пользователь уверен, что для него аккумулятор важнее точности и технологии GPS будет достаточно, можно остановить процесс постоянного поиска.
На основе поданной информации каждый может решить для себя, нужен ли ему ночной Интернет. Но стоит помнить, что это удобно и не критично для батареи.
Отключение ради экономии заряда
Бережливые пользователи не ставят смартфон заряжаться на ночь, при этом для многих важно, чтобы к утру заряд батареи был полным. Если телефон в исправном состоянии при неактивном экране и отключённых модулях связи, таких как GPS, Wi-Fi, сеть 3G или 4G, разрядиться аккумулятор может максимум до 5% за ночь
Экономию можно считать значительной, только если отсутствует возможность подзарядки в ближайшем времени, а смартфон почти разряжен, например, вы находитесь в дороге.
При передвижении батарея сильно садится, поскольку девайс переключается от станции к станции, что требует дополнительной энергии. Эта проблема решается активацией режима «В самолёте», но если уровень заряда совсем на исходе, лучше выключить смартфон на то время, пока он не используется.
Необходимость постоянно отключать телефон на ночь, если вы, находясь дома, имеете доступ к электросети, отсутствует вовсе. К тому же, не на каждом устройстве срабатывает будильник, когда аппарат отключён.

Расход батареи
Постоянная отправка данных через сеть не лучшим образом влияет на заряд аккумулятора. Даже если пользователь не взаимодействует с программой напрямую, ее сетевые функции способны выполняться в автоматическом фоновом режиме. Благодаря этому происходит обновление ПО, синхронизация файлов, а также получение push-уведомлений в приложениях.

Активное потребление сетевого трафика значительно снижает время автономной работы устройства
Важно заметить, что работа 3G и тем более 4G-интернета в режиме ожидания требует гораздо больших ресурсов батареи, чем Wi-Fi. Таким образом, чтобы смартфон с интернетом работал дольше, рекомендуется использовать не сотовую связь, а беспроводную сеть Wi-Fi
Еще не лучшим образом заряд батареи телефона влияют GPS-сервисы и другие приложения, отправляющие данные о местоположении. Их рекомендуется использовать только в случае прямой необходимости. Включили GPS, построили маршрут в навигаторе, доехали, выключили GPS.
Что касается общего доступа к интернету, для экономии заряда на ночь можно включать авиарежим или вообще отключать телефон. Другие советы по экономии заряда батареи читайте в специальной статье.
Как настроить опцию выключения на Айфон
В яблочных гаджетах можно использовать таймер выключения вместе с опцией “Режим сна”. Она предназначена для определения подходящего времени отхода ко сну.
Для настройки этого таймера на iPhone и iPad потребуется выполнить несколько простых шагов:
- Запустить в Айфон приложение “Часы”.
- Выбрать вкладку “Таймер”.
- Нажать на сигнал.
- Внизу, в открывшемся списке выбрать параметр “Остановить”.
- Теперь нужно выставить желаемое время срабатывания программы и нажать “Старт”.

Через определенное время экран девайса заблокируется в авторежиме, независимо от того, что именно отображалось и было запущено на устройстве.
Что говорят исследования
Существует буквально тысячи высококачественных рецензированных научных исследований, связывающих этот тип излучения с такими негативными последствиями для здоровья, как рак и бесплодие.
В одном из таких исследований доктор Мартин Палл (Martin Pall) назвал Wi-Fi важной угрозой для здоровья человека. Он подробно описал семь хорошо известных последствий воздействия Wi-Fi на здоровье человека, включая дисфункцию сперматозоидов, повреждение клеток и оксидативный стресс.. Всемирная организация здравоохранения считает электромагнитное излучение канцерогеном класса 2В
На самом деле, безопасного уровня электромагнитного излучения не существует
Всемирная организация здравоохранения считает электромагнитное излучение канцерогеном класса 2В. На самом деле, безопасного уровня электромагнитного излучения не существует.
Этот тип излучения (иногда называемый радиочастотным излучением) также связан с нарушением сна.
Проще говоря, существует много рисков для здоровья, из-за которых стоит ограничить использование Wi-Fi-роутером.
Если у вас есть дети, это еще важнее, потому что дети и младенцы более уязвимы к воздействию электромагнитного излучения, чем взрослые.
Что делать?
Для начала, вам определенно не нужен Wi-Fi-роутер в спальне. На самом деле, рекомендуется хранить всю электронику вне спальни. Лучше, чтобы излучение вашего маршрутизатора было на максимально безопасном расстоянии.
Если вы не выключаете свой Wi-Fi-роутер, то подвергаетесь воздействию электромагнитного излучения, даже когда не пользуетесь Интернетом и не получаете никакой выгоды от этой технологии.
Здоровье
Наконец, немаловажный фактор, играющий зачастую решающую роль при принятии решения отключать роутер на ночь, это возможно неблагоприятное влияние излучения от WiFi на здоровье человека. Мое мнение вы знаете, я писал об этом в >>отдельной статье. Лично я считаю, что опасность сильно преувеличена, ведь wifi — это даже не микроволновка, и не 4G, а обычный радиосигнал, как в приемнике.
Тем более, даже если предположить, что он чем-то вреден, то вы никак не защищены от точек доступа в соседних квартирах. Если просканировать эфир, то обнаружите, что их десятки, не считая вашего маршрутизатора. Поэтому пытаться как-то сильно оградиться от беспроводных сетей сегодня вообще не реально. Если только вы не живете в частном отдельно стоящем доме. Тогда да, можно настроить расписание работы и действительно во время сна ничем себя не «облучать»
Как настроить включение и выключение смартфона с помощью приложений
Может быть и такое, что на девайсе нет подобной настройки. На помощь придут сторонние приложения, которые можно скачать из Google Play. В ассортименте как платные, так и бесплатные программы. Но для их работы могут потребоваться Root права на устройстве.
Phone Schedule
Это одно из лучших приложений, работающее по принципу «все в одном». Программа позволяет одним махом настроить время отключения гаджета и его включение, убавить звук смартфона по времени, включить/ отключить блютуз, установить любимую музыку для будильника, сделать экран ярче в дневное время и или темнее вечером для экономии заряда батареи, переключить прием интернета с мобильной сети на Wi-Fi, при возвращении домой и многое другое.

Дружественный интерфейс существенно облегчает задачи, позволяя легко справиться с настройками даже неопытному пользователю.
Cozy Timer
Позволяет отключить музыку или видео после того, как владелец заснул. Для этого нужно нажать во время воспроизведения кнопку «Старт», установив примерное время ожидаемого сна. Есть настройка, позволяющая полностью выключить экран смартфона, она поможет экономить батарею.
Действуют опции “Режим таймера” и “Режим расписания”, с остановкой через 1 час и т.д, или с выключением в определенное время суток. Позволяет также приостанавливать работу WiFi и блютуз. Программа может активироваться при низком заряде аккумулятора.
Sleep Timer
Простое приложение позволяет настроить таймер для отключения любых мультимедийных файлов, которые проигрываются на смартфоне. При этом оно использует разрешения администратора устройства. Софт работает со всеми медиаплеерами, а также позволяет деактивировать Bluetooth и WiFi через определенное время. ПО поможет сэкономить заряд батареи. Приложение поддерживает управление жестами. Например, его можно встряхнуть, чтобы продлить таймер на желаемое время, если пользователь еще не уснул.
При установке сторонних программ рекомендуем ознакомиться с отзывами на Гугл плей, а также учитывать версию Андроид и технические возможности девайса. Стоит ли устанавливать программы на свой смартфон – решать только вам.

Практически на каждом смартфоне компании Lenovo присутствует множество встроенных полезных функций, не все из которых используются владельцами. Например, есть в нем возможность включать и выключать устройство по расписанию, в заданное заранее время.
Это, прежде всего, сберегает заряд аккумулятора. Во вторых, полностью блокирует возможность дозвониться до вас во время сна или в другое время. Или же наоборот, ваш дейвас большую часть времени будет находиться в выключенном режиме, «просыпаясь» только на строго отмеренный интервал времени.
Функция включение смартфона по расписанию находится в подразделе — «расписание включения/выключения питания» в подразделе «Все Настройки».
При выборе параметров активации/деактивации устройства можно выбрать на только время, но и дни недели, в которые функция будет выполняться. Например, телефон можно выключать и включать по расписанию, синхронизировав его с лекциями в институте. Такой способ управления работой увеличит время работы прибора между зарядками и позволит полностью избавиться от звонков во внеурочное время, например, во время сна. Если ваш смартфон не имеет встроенной функции включения и выключения по расписанию, тогда советуем вам скачать сторонние приложение. Для некоторых из них нужны root-права ( Инструкция получения рут-прав — кликабельно) :
1. Phone Shedule — cкачать с Google Play Market (кликабельно).
2. GRuV Выключение — cкачать с Google Play Market (кликабельно).
3. Power Schedule — cкачать с Google Play Market (кликабельно).
Кстати, на нашем сайте есть интересная статья которая вас может заинтересовать — почему не открывается приложение на Андроид.

























































